- 
                    
                        Mittelohrprothesen
                        
                            
                        
                    
                    
                        
    - 
                
                    Tympanoplastik
                    
                        
                    
                
                
                    
    - Mittelohrprothese TTP-VARIAC®
- Mittelohrprothese TTP®-VARIO System
- Mittelohrprothese TTP®-Tübingen
- Mittelohrprothese Düsseldorf
- Mittelohrprothese MünchenLMU
- Mittelohrprothese MNP Malleus Notch
- Mittelohrprothese MRP Malleus Ersatz
- Mittelohrprothese OMEGA CONNECTOR
- Mittelohrprothese CliP® Partial Dresden
- Mittelohrprothese CliP Partial FlexiBAL®
- Mittelohrprothese Winkel-CliP®
- Mittelohrprothese Winkel-Prothese Plester
- Mittelohrprothese Regensburg Total
 
- Stapesplastik
 
- 
                
                    Tympanoplastik
                    
                        
                    
                
                
                    
    
- Instrumente/Zubehör
- Paukenröhrchen
- Sterile Silikonfolien
- Bonalive®
- Biodesign® Otologic Repair Graft Implantat
- PVA-Tamponaden
- Instrumentenwischtücher
- Einweg-Sauger
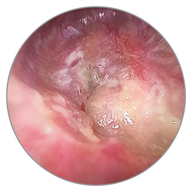
Biodesign® Otologic Repair Graft Implantat
Das Biodesign® Otologic Repair Graft Implantat ermöglicht einen minimalinvasiven Ansatz bei der Ohrchirurgie, da keine Gewebeentnahme erforderlich ist und Patienten so eine zweite Narbe erspart bleibt.6

 
 ZUVERLÄSSIGER VERSCHLUSS
Biodesign® Implantat wird vollständig in natürliches Wirtsgewebe umgewandelt, sodass laut veröffentlichter Literatur Erfolgsraten von 91 % erzielt werden1-9 und bei audiometrischen Ergebnissen kein statistisch signifikanter Unterschied zu Fascia-Temporalis-Implantaten vorhanden ist.1, 10

 
  
 HERVORRAGENDE HANDHABUNG
Biodesign® Material lässt sich leicht handhaben und ermöglicht das präzise Einsetzen des Implantats.1

ZEITERSPARNIS
Bei Verwendung des Biodesign® Otologic Repair Graft Implantats muss kein Eigengewebe entnommen werden, was die Dauer des Eingriffs erheblich verkürzt.1
Zuverlässiger Verschluss
BIODESIGN® OTOLOGIC REPAIR GRAFT IMPLANTAT VERSCHLIESST DIE PERFORATION
 durch Neovaskularisation. Komorbiditäten und Narbenbildung in Zusammenhang mit der Entnahme von Patientengewebe treten nicht auf.1
91%ige Erfolgsrate laut Literatur1-9
Abbildungen mit freundlicher Genehmigung von Dr. Giuseppe Panetti, Ascalesi Hospital-ASL, Neapel, Italien
Tipps zur Erzielung optimaler Ergebnisse
- Das Implantat kann auch nach der Hydratisierung zugeschnitten werden. 
- Die Underlay-Technik hat sich als erfolgreich erwiesen.1 
- Das Implantat trocken einsetzen oder vor dem Einsetzen maximal eine Minute lang hydratisieren. 
Erhältliche Produktgrößen / Bestellhinweise
| Referenznummer | Größe cm | Nominale Dicke mm | 
| CK ENT-OTO-0.4-0.6-2 | 0,4 und 0,6 | 0,25 | 
| CK ENT-OTO-0.6-0.9-2 | 0,6 und 0,9 | 0,25 | 
| CK ENT-OTO-2.5X2.5-2 | 2,5 x 2,5 | 0,25 | 
| CK ENT-OTO-5X5-2 | 5,0 x 5,0 | 0,25 | 
Quellen
1. D’Eredità R. Porcine small intestinal submucosa (SIS) myringoplasty in children: a randomized controlled study. Int J Pediatr Otorhinolaryngol. 2015;79(7):1085-1089.
2. Cass ND, Hebbe AL, Meier MR. et al. Pediatric primary tympanoplasty outcomes with autologous and nonautologous grafts.Otol Neurotol. 2022;43(1):94-100.
3. Chen CK, Hsieh LC. Clinical outcome of exclusive endoscopic tympanoplasty with porcine small intestine submucosa in 72 patients. Clin Otolaryngol. 2020;45(6):938-943.
4. Barron C, Lukens J, Niermeyer W, et al. Investigation of novel grafts in use for pediatric tympanoplasty. Ann Otol Rhinol Laryngol. 2019;128(12):1111-1115.
5. Redaelli De Zinis LO, Berlucchi M, Nassif N. Doublehanded endoscopic myringoplasty with a holding system in children: preliminary observations. Int J Pediatr Otorhinolaryngol . 2017;96:127-130.
6. James AL. Endoscope or microscope-guided pediatric tympanoplasty? Comparison of grafting technique and outcome. Laryngoscope. 2017;127(11):2659-2664.
7. Ranguis SC, Leonard CG, James AL. Prospective comparison of pediatric endoscopic lateral graft and interlay tympanoplasty. Otol Neurotol. 2021;42(6):867-875.
8. Wang N, Isaacson G. Collagen matrix as a replacement for Gelfilm for post-tympanostomy tube myringoplasty. Int J Pediatr Otorhinolaryngol. 2020;135:110136.
9. Yawn RJ, Dedmon MM, O’Connel BP, et al. Tympanic membrane perforation repair using porcine small intestinal submucosal grafting. Otol Neurotol . 2018;39(5):e332-e335.
10. Dontu P, Shaigany K, Eisenman DJ. Anatomic and audiometric outcomes of porcine intestinal submucosa for tympanic membrane repair. Laryngoscope Investig Otolaryngol . 2022;7(6):2069-2075.
Lesen Sie die produktspezifischen Informationen zu Risiken in der Gebrauchsanweisung unter www.everismedical.com.






